Chin Implants and Jaw Implants: How CBCT Supports Recessed Chin and Jawline Surgery
A well-defined chin and jawline play a major role in how balanced and harmonious the face looks. For people with a recessed chin or weak jawline, chin and jaw implants can create a stronger profile and more confident appearance.
At 3Beam Imaging Centre, we don’t perform surgery ourselves. Our role is to provide high-quality CBCT (cone beam CT) imaging that helps surgeons plan procedures such as chin implants, chin reduction surgery, and jaw implants as safely and precisely as possible.
This article explains the main surgical options, what “augmented chin” really means, and how CBCT fits into the planning and follow-up process.

What is a recessed chin?
A recessed chin (also called a weak or retruded chin) is where the chin sits further back than is typical relative to the lips, nose and forehead. This can make:
-
The nose appear larger
-
The neck–chin angle less defined
-
The lower face look less balanced in profile
A recessed chin can be purely cosmetic, but in some people it is linked with underlying skeletal patterns or bite issues, which may need assessment by an orthodontist or maxillofacial (maxfax) surgeon.
Options to improve chin and jawline shape
There are several ways surgeons address chin and jawline concerns. The right option depends on your anatomy, bite and goals.
1. Chin implants (chin augmentation)
Chin implants are one of the most common ways to create an augmented chin:
-
A solid implant (often silicone or another biocompatible material) is placed over the front of the chin bone.
-
The implant can increase projection, width or both, giving a stronger, more defined chin.
-
Surgery is usually done through a small incision inside the mouth or just under the chin.
Chin implants are typically chosen when:
-
The main issue is a modestly recessed chin rather than a major jaw discrepancy.
-
The bite is acceptable and doesn’t require orthognathic (jaw) surgery.
-
The patient wants predictable volume and shape changes without cutting and moving the bone itself.

2. Chin reduction surgery
Chin reduction surgery is used when the chin is too prominent, long or bulky:
-
The surgeon reshapes the front of the chin bone, removing or contouring excess bone.
-
In some cases, bone segments are repositioned to shorten or reduce projection.
-
The result is a smaller, more refined chin that fits the rest of the face better.
Planning is important to avoid over- or under-correction. Detailed imaging helps the surgeon understand how much bone can safely be modified and how the soft tissues will drape afterwards.
3. Jaw implants (jawline augmentation)
Jaw implants are used to enhance the angle and body of the lower jaw, not just the chin tip:
-
Implants can be placed along the jaw angle and posterior jaw to create a sharper, more structured jawline.
-
Some implant systems combine chin and jaw components for a full lower-face transformation.
-
This can help patients with narrow or under-defined jaws, particularly in profile and three-quarter views.
Jaw implants can be combined with chin implants or other facial procedures (such as rhinoplasty or neck liposuction) depending on the treatment plan.

4. Bone-based surgery (sliding genioplasty and jaw surgery)
Sometimes the best solution is to move the bone rather than add an implant:
-
Sliding genioplasty repositions the chin bone itself.
-
Orthognathic (jaw) surgery repositions the upper and/or lower jaws to correct bite and facial proportions.
These bone-based procedures are often used when there is a significant skeletal discrepancy or functional bite problem in addition to cosmetic concerns.

What does “augmented chin” really mean?
An augmented chin simply means the chin has been enhanced to be more prominent, better shaped or better balanced with the rest of the face.
This can be achieved by:
-
Adding volume with chin implants
-
Moving the bone forwards in sliding genioplasty
-
Adjusting the lower jaw position in combined jaw surgery
Regardless of the method, careful planning is essential so that the final chin position matches your facial features and treatment goals.
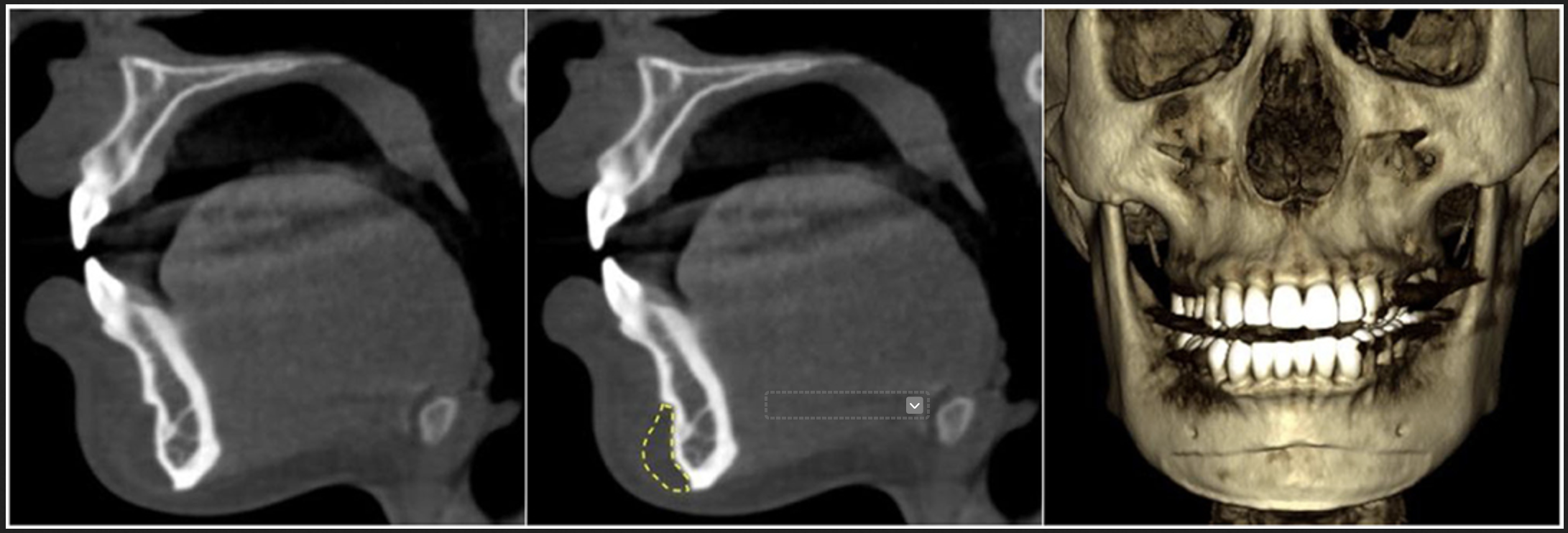
Why CBCT is useful in chin and jaw implant planning
Traditional 2D X-rays provide limited information for modern implant and maxfax surgery. CBCT provides a 3D view of the jaws, teeth and surrounding structures, which can be invaluable when planning:
-
Chin implants
-
To understand the thickness and contour of the underlying chin bone.
-
To check the position of tooth roots and the mental nerve so the implant and fixation stay clear of vital structures.
-
-
Chin reduction surgery
-
To gauge how much bone can be removed safely while maintaining strength and symmetry.
-
To identify any asymmetry or irregularities that may need contouring.
-
-
Jaw implants
-
To visualise the jaw angle, jaw body and ramus in three dimensions.
-
To ensure implants follow the natural contours of the jaw and avoid critical areas such as the mandibular canal (where the inferior alveolar nerve runs).
-
-
Combined procedures
-
When chin implants or jaw implants are done alongside genioplasty or orthognathic surgery, CBCT allows surgeons and orthodontists to see the whole lower face structure at once.
-
At 3Beam, maxillofacial surgeons can request maxfax full-head CBCT scans when they need a comprehensive view of the facial skeleton for complex planning.

CBCT and recessed chin assessment
If you have a recessed chin, your surgeon may use CBCT to:
-
Assess the relationship between your chin, jaw and teeth
-
Look at how your lower face sits relative to the rest of the skull
-
Decide whether a simple chin implant is enough, or whether bone-based surgery is needed
-
Plan implant positioning and size so the final profile looks balanced
This is particularly important when a recessed chin is part of a wider jaw problem (for example, a backward-positioned lower jaw or complex asymmetry).
Chin implants versus jaw implants – when is each used?
While there is overlap between the two, they are generally used for different goals:
-
Chin implants
-
Focus on the chin tip and immediate surrounding area
-
Best for improving projection and sometimes width at the front
-
Often chosen for patients whose main concern is side-profile chin projection
-
-
Jaw implants
-
Extend along the jawline towards the back of the jaw
-
Used to strengthen the jaw angle and overall jawline definition
-
Often chosen for patients who want a more sculpted or “stronger” lower face from multiple angles
-
In some cases, surgeons use both to create a continuous, natural-looking enhancement from chin to jaw angle.
Chin reduction surgery and symmetry
When performing chin reduction surgery, symmetry and proportion are crucial. Uneven bone removal can lead to:
-
Asymmetry when viewed from the front
-
A step or flat area in profile
-
Irregularity where the soft tissues drape over the bone
CBCT imaging helps surgeons:
-
Compare both sides of the chin and jaw
-
Understand the thickness of the bone at each point
-
Plan bone removal in a way that preserves strength and symmetry
This makes it easier to achieve a refined but stable result.
What happens at a CBCT appointment?
If your surgeon has referred you for CBCT before chin or jaw surgery, the visit is usually simple:
-
Referral
-
Your plastic surgeon, oral and maxillofacial surgeon, orthodontist or cosmetic dentist sends a referral specifying what is needed (for example, chin and lower jaw CBCT, or a maxfax full-head scan).
-
-
Scan
-
You stand or sit in the CBCT machine and keep still while it rotates around your head. The actual scan takes less than a minute.
-
-
Radiation considerations
-
CBCT uses ionising radiation, but the scan is focused on the area of interest and is justified when the information gained will materially improve planning and safety.
-
-
Image review and reporting
-
A dento-maxillofacial radiologist or appropriately trained clinician reviews the scan, checking bone, teeth, nerve canals and any incidental findings.
-
The images and report are sent to your surgeon in a digital format they can use for planning, 3D simulations or surgical guides.
-
Before and after chin and jaw implants – the role of imaging
Photographs are typically used to show before and after results for chin and jaw implants. However, imaging also plays a role:
-
Before surgery
-
CBCT allows precise assessment of bone structure and nerve positions.
-
Surgeons can plan the size, shape and position of implants or the amount of bone to be reshaped.
-
-
After surgery
-
Imaging can confirm implant position and integration.
-
It can also be used to evaluate bone healing after chin reduction surgery or combined procedures.
-
This is particularly valuable in complex or revision cases.
Frequently asked questions
Do I always need a CBCT scan for chin implants?
Not always. The need for CBCT depends on your surgeon’s assessment and the complexity of the case. For straightforward, minor augmentations, some surgeons may rely on clinical examination and standard imaging. For more complex or combined procedures, CBCT is often recommended.
Will CBCT show the shape of my final augmented chin?
CBCT shows bone and teeth in 3D, not the final soft tissue appearance. However, your surgeon can use the bone data, together with photos and clinical examination, to simulate likely outcomes and plan the procedure.
Is CBCT painful?
No. CBCT is non-invasive and painless. You simply stand or sit still while the machine captures the images.
Can CBCT be used if I’ve already had chin or jaw implants?
Yes. CBCT is often very useful in assessing existing implants, bone around them and any nearby anatomical structures, especially if you are considering revision surgery.
Need CBCT for chin implants, jaw implants or chin reduction surgery?
If you or your surgeon need CBCT scans before or after chin or jawline surgery – including maxfax full-head scans for complex cases – you can contact 3Beam Imaging Centre directly.
If you have questions about the scanning process, referral pathways or scan options, please call 3Beam and ask to speak to Ash. He can explain how referrals work (from the UK or abroad) and help coordinate an appointment that fits around your treatment plan.