Dental CBCT
Radiology Reports

We offer specialist dental teleradiology
CBCT and OPG reporting service provided
by a niche pool of UK trained and registered
Dental & Oral Maxillofacial Radiologists.

Send scan for reporting

Please switch to the desktop version of our website to upload and send your scan for reporting. This feature is not available on mobile.

Expert Radiology Reporting for Dental Imaging

We offer comprehensive radiology reporting for CBCT and 2D imaging carried out at your dental practice.

Our team of specialist Dental and Oral & Maxillofacial Radiologists carefully review the DICOM data, interpret the scans, and produce detailed reports tailored to the clinical question.

Each report includes:
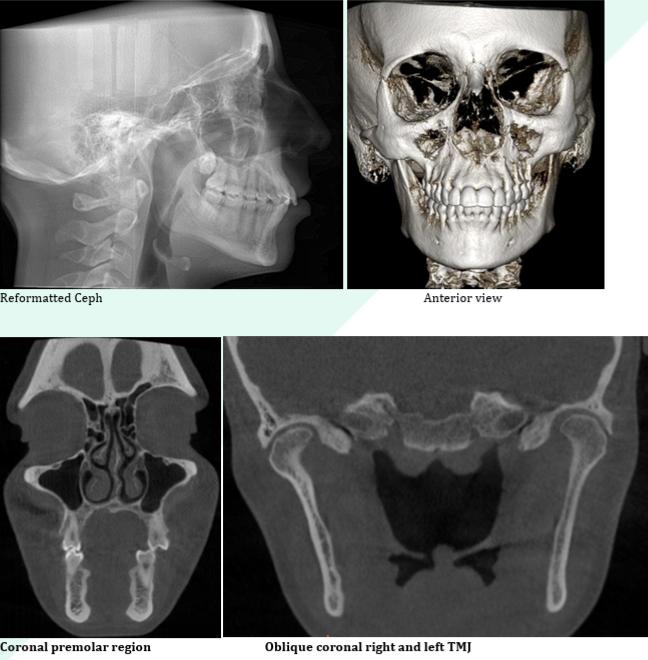
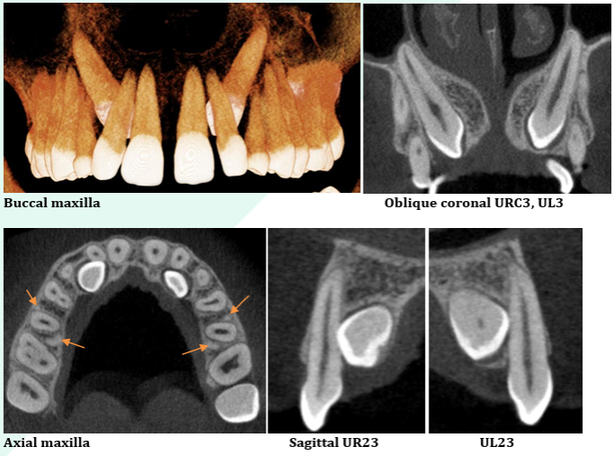
– A thorough review of the region of interest
– Identification of relevant pathology
– Precise measurements and high-resolution annotated screenshots
– Clear, actionable findings to support your treatment planning

Send scan for reporting

Please switch to the desktop version of our website to upload and send your scan for reporting. This feature is not available on mobile.

3Beam Teeth Scan

Our radiologists

Our preferred partner for the radiology reports is Dr Rebecca Davies. Rebecca is a Dental and Maxillofacial Radiologist who works as a Consultant at the University Hospitals Bristol NHS Foundation Trust since 2008. She also runs a CQC registered Private Dental and Maxillofacial radiology reporting service.

  • Having obtained a dental degree with Honours from Leeds University in 1996, Rebecca spent several years in General Dental Practice and then commenced staff grade positions in Oral and Maxillofacial surgery in Bath and later Oral Medicine at Bristol Dental Hospital.
  • Rebecca obtained an MSc, with distinction, in Dental and Maxillofacial radiology from Guys Hospital London, this stimulated an interest in the speciality. She then completed a 4 year NHS consultant training pathway in Dental and Maxillofacial radiology.
  • She is a member of the Royal College of Radiologists examining board for the diploma in Dental and Maxillofacial Radiology and is also a Specialty Advisory Representative for the Royal College.
  • Rebecca has gained experience as a Training Programme Director, Educational and Clinical Supervisor for radiology registrars.
    Within the specialty, her main interests lie in Head and Neck ultrasound and Cone Beam CT.

Lee is specialist in Dental and Maxillofacial Radiology and works as a Consultant Dental and Maxillofacial Radiologist at Kings College Hospital, London and at the Eastman Dental Hospital, University College London Hospitals. He is currently the Honorary Secretary of the British Society of Dental and Maxillofacial Radiology and sits on the council of the British Society of Head and Neck Imaging.

He is passionate about education and holds a formal qualification in learning and teaching in higher education. In his previous role as a Clinical Lecturer at the University of Liverpool he was responsible for undergraduate and postgraduate radiology teaching and assessment. He continues to lecture regularly to postgraduate dental professionals. He has recently also taken up an Honorary Senior Clinical Lecturer role at Kings College London where he will be leading the undergraduate BDS teaching in Dental Radiology.

Dr Bhagy Batchu is a UK registered Specialist in Dental and Maxillofacial Radiology and has been working as a Consultant in Dental and Maxillofacial Radiology at Kings College Hospital NHS Foundation Trust, London since 2014. She graduated BDS in 2000 from India and completed UK Statutory Exam in 2007.

She has special interests in reporting CBCT scans, performing ultrasound scans and ultrasound guided interventions. She is highly regarded for her clinical knowledge, reporting skills and has been an invited speaker at various regional, national and international meetings. She is a guest lecturer for the MSc Implantology programme at University of Bristol since 2017. She is currently one of the Trustees of the BSDMFR and was also the past Honorary Secretary of BSDMFR. She was the Guest Editor for the Primary Dental Journal Spring 2018 Edition on Dental Radiography. Above all her achievements and commitments, Bhagy absolutely loves spending time with her children, cooking and gardening.

3beam Numbers Background Shape Left

3Beam in numbers

0 +
reports delivered to date
0
reports delivered annually
0 Days
average turnaround time
0 +
referrers for dental radiology reporting
0 hours
express reporting
0 +
scans delivered
Price

Fixed fee of £130 for reporting
on any size CBCT scan

Turn-around

We have a turn-around time of 5 working days.

Urgent requests are delivered with 24 hours turn-around for an extra £50

Send scan for reporting

Please switch to the desktop version of our website to upload and send your scan for reporting. This feature is not available on mobile.

We are a dedicated team committed to delivering high-quality dental teleradiology services through our network of experienced Dental and Maxillofacial Radiologists.

Our aim is to help healthcare providers manage imaging backlogs and reduce pressure on clinics and hospitals—without compromising on clinical standards.

We welcome enquiries regarding NHS dental radiology CBCT reporting contracts. For enquiries, please contact Dr Emil at: emil@3beam.co.uk

Send scan for reporting

Please switch to the desktop version of our website to upload and send your scan for reporting. This feature is not available on mobile.

3Beam Radiologists Reporting Dental Scans
3beam Numbers Background Shape Left

Why Choose 3Beam

  • Specialist in Oral and Maxillofacial (OMFS) radiology reporting
  • Contract based & ad-hoc dental reporting
  • Dedicated query helpline
  • Accessible communication direct with the radiologist
  • Continuous audit of reports
  • CQC-registered provider
  • Stay compliant with CQC and GDC scan reporting requirements
  • Recognised by all major insurance providers
Evaluating for implants
Bone measurements for implant planning
Sinus evaluation
TMJ evaluation
Head and neck reporting
Middle ear scans and reporting
OPG reporting
Reporting of CBCT scans done your practice
3Beam Background Icon Element

Find some sample reports in PDF here:

Send scan for reporting

Please switch to the desktop version of our website to upload and send your scan for reporting. This feature is not available on mobile.