CBCT
Dental CT scan cost (UK): what you’ll typically pay — and what drives the price
Dental CT scan cost (UK): what you’ll typically pay — and what drives the price If your dentist has recommended a “dental CT scan”, they’re usually referring to a CBCT scan (cone beam CT). It’s a 3D scan that gives more detail than a standard 2D X-ray and is widely used for implant planning, difficult…
Read MoreSame-Day CBCT scans near Cavendish CT in Harley Street
CBCT scans near Cavendish CT in Harley Street If you usually search for “Cavendish CT” or refer patients to Cavendish Imaging, you’re likely looking for high-quality cone beam CT (CBCT) scanning in the Harley Street area. 3Beam Imaging Centre at 86 Harley Street, London W1 provides advanced CBCT scanning with Morita X800 technology and UK…
Read MoreThe Truth About “Turkey Teeth” and Dental Implants Abroad: What You Should Know Before You Go
Over the past few years, “Turkey teeth” has become one of the most searched terms in cosmetic dentistry. Social media is filled with transformation videos showing gleaming smiles from clinics abroad—particularly in Turkey—where dental implants and veneers are often offered at a fraction of UK prices. But behind the headlines, there’s an important story about…
Read MoreThe Cutting-Edge Role of CBCT in TMJ Assessment
Introduction to TMJ In the world of temporomandibular joint (TMJ) disorders, accurate diagnosis is the cornerstone of successful treatment. At 3Beam, our advanced imaging protocols leverage cone-beam computed tomography (CBCT) to deliver pinpoint visualisation of the joint’s bony anatomy — helping referring dentists, maxillofacial surgeons and specialist clinicians make informed decisions. In this post we…
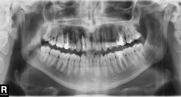
Read MoreOPG Dental X-Rays: Precision Panoramic Imaging for Better Diagnosis
OPG Dental X-Rays: Precision Panoramic Imaging for Better Diagnosis An OPG (orthopantomogram) is one of the most valuable tools in modern dental imaging, providing a comprehensive view of both jaws, all teeth, and the surrounding bone structures in a single scan.At 3Beam Imaging Centre in Harley Street, we perform digital OPG dental X-rays using high-resolution…
Read MoreUnderstanding Radiation Dose in Modern CBCT Machines: A Game Changer in Dental Imaging
Cone Beam Computed Tomography (CBCT) has revolutionized dental imaging, providing highly detailed 3D views of the oral and maxillofacial structures. But, as with any form of imaging that uses radiation, patients and practitioners are often concerned about radiation exposure. Fortunately, advances in CBCT technology have led to significant improvements in radiation safety, making new CBCT…
Read MoreBenefits of Computed Tomography in Dentistry
CBCT, defined as cone-beam computed tomography systems, is a dental imaging method that utilises the dental x-ray where the rays are divergent and form a cone, hence giving it the name cone-beam computed tomography. Clinicians make the best use of CBCT to diagnose their patients, which captures the data by the x-ray beam rotating around the patient’s…
Read More